Durante algunos tipos de accidentes, usted puede entrar en contacto con sustancias químicas peligrosas. Si entra en contacto con una sustancia química peligrosa puede ser necesario que se quite de inmediato la ropa, la deseche y luego se lave el cuerpo. … [Leer más...] acerca de Limpieza personal y desecho de ropa contaminada
Higiene Industrial
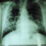
Diagnóstico de la Silicosis y la importancia de la historia laboral
La neumoconiosis en general, constituye un grupo de enfermedades pulmonares que se produce debido a la inhalación de polvo. Singularmente la silicosis es la neumoconiosis producida por la inhalación de polvo con partículas de sílice libre. … [Leer más...] acerca de Diagnóstico de la Silicosis y la importancia de la historia laboral
